Skip to main content
Menu
Call
Happy Teeth Dental • (720) 530-6481
Book Now
Map
Pottstown Dental Directions
Happy Teeth Dental Directions
Home
About Us
Our Team
Pottstown Dental
Happy Teeth Dental
Technology
Office Pictures
Our Services
View All
Double Service Page Test
10/30 test
test & page
Service CTA Test
Clear Braces
Cosmetic Dentistry
Crowns and Bridges
Dental Implants
Emergency Dentistry
General Dentistry
Periodontal Disease
Professional Teeth Whitening
Root Canals
Veneers
lauren test
Smile Gallery
Reviews
Patient Information
View Patient Information
Forms
Financial
Specials
FAQs
Blog
View All
Other
Clear Braces
Crowns and Bridges
Dental Implants
Dental Implants
Double Service Page Test
Preventive Dentistry
Veneers
Contact
View All
Pottstown Dental
Happy Teeth Dental
Callister Dentistry
Braden Callister DMD
Call ME
Like us on Facebook
Visit us on Yelp
Leave a Google Review
WhatsApp
(559) 431-1364
General and Aesthetic Dentistry
7138 N Millbrook Ave Suite 101., Fresno, CA 93720
7138 N Millbrook Ave Suite 101, Fresno, CA
Callister Dentistry
>
Smile Gallery
>
Test
Test
Return to Smile Gallery
Previous
Next
Related Services:
Cosmetic Dentistry
Dental Implants
Click image to see a larger picture
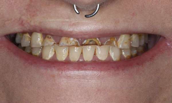
Before
After
Not finding what you need?
Contact Us
OK!
×
Global Modal Testing Lauren
×
Contact Us Today
Give Us A Call
Pottstown Dental - (654) 654-6546
Happy Teeth Dental -
(720) 530-6481
Send Us an Email
Which location?
Pottstown Dental
Happy Teeth Dental
Call ME
Contact Us
Ready to Schedule an Appointment?
Book Now
Have Questions? Contact Us:
Required Field
Your Name:
Phone:
Email:
Are you a new patient?:
Are you a?
New Patient
Current Patient
How would you like us to contact you?
Please choose
Email
Call
How did you hear about us?
Please choose
I'm an existing patient
Google/Bing
Mailer
Word of mouth
Social media
Other
Who Referred You?:
Insurance Information
Carrier/Provider
Group ID#
Date of Birth
Appointment Preferences
Monday
Wednesday
Thursday
Friday
Saturday
Sunday
Your Message:
This site is protected by reCAPTCHA and the Google
Privacy Policy
and
Terms of Service
apply.
Sending...
×
This Patient's Experience
Loading Testimonial...
Loading Case...